손목 골절 완치 기간 재활치료 요골 골절 깁스기간
우리의 손목은 일상 속에서 타이핑·스마트폰 조작·요리·운동 등 거의 모든 동작에 관여합니다. 그래서 넘어지거나 교통사고·스포츠 손상으로 손목, 특히 요골(팔꿈치에서 손목까지 이어지는 뼈 중 엄지 쪽 뼈)을 다치면 삶의 질이 크게 떨어집니다.

손목 골절은 “심한 부종과 통증 → 깁스 및 고정 → 재활”이라는 비교적 전형적인 경로를 밟지만, 연령·골절 형태·치료 방법에 따라 손목 골절 완치 기간과 재활 전략이 달라집니다.


손목 골절 완치 기간 이해하기
본 글에서는 요골 골절 중심으로 깁스 기간(손목 골절 완치 기간), 완전 가골 형성 시점, 단계별 재활치료 요령, 일상 복귀 시 주의사항을 상세히 정리했습니다.
손목 골절 발생 원인
- 낙상: 빙판길·욕실·계단 등에서 손바닥을 짚고 넘어질 때 요골 말단부에 압박·굴곡력이 집중.
- 스포츠 손상: 스노보드, 인라인, 농구, 축구 골키퍼 등이 대표.
- 교통사고: 핸들·대시보드에 손목이 직접 충격.
손목 골절의 대표 유형
- 콜리스 골절
- 손바닥 짚은 상태에서 손목이 과연장돼 발생.
- 요골 말단부가 손등 방향으로 이동(‘스미스’의 반대).
- 스미스 골절
- 손등을 짚거나 주먹 쥔 채 넘어질 때.
- 요골 말단부가 손바닥 방향으로 전위.
- 분쇄·불안정 골절
- 고에너지 충격(추락·교통사고)에서 발생, 골편이 여러 조각.
- 수술적 고정(금속판·나사) 후 재활 필요.
손목 골절 치료 방법


보존적 치료
- 폐쇄 정복 후 깁스: 전위가 경미하거나 성장판 보존이 중요한 소아·청소년에서 선호.
- 깁스 유지 기간
- 소아: 3 – 4주. 골막이 두껍고 재생력↑.
- 성인: 4 – 6주. 골질·골량·생활패턴에 따라 다름.
- 고령·골다공증: 6 – 8주 이상 필요할 수 있음.
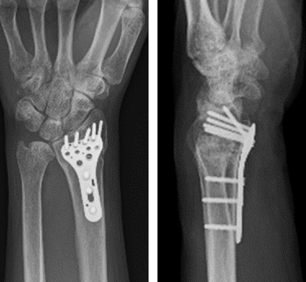
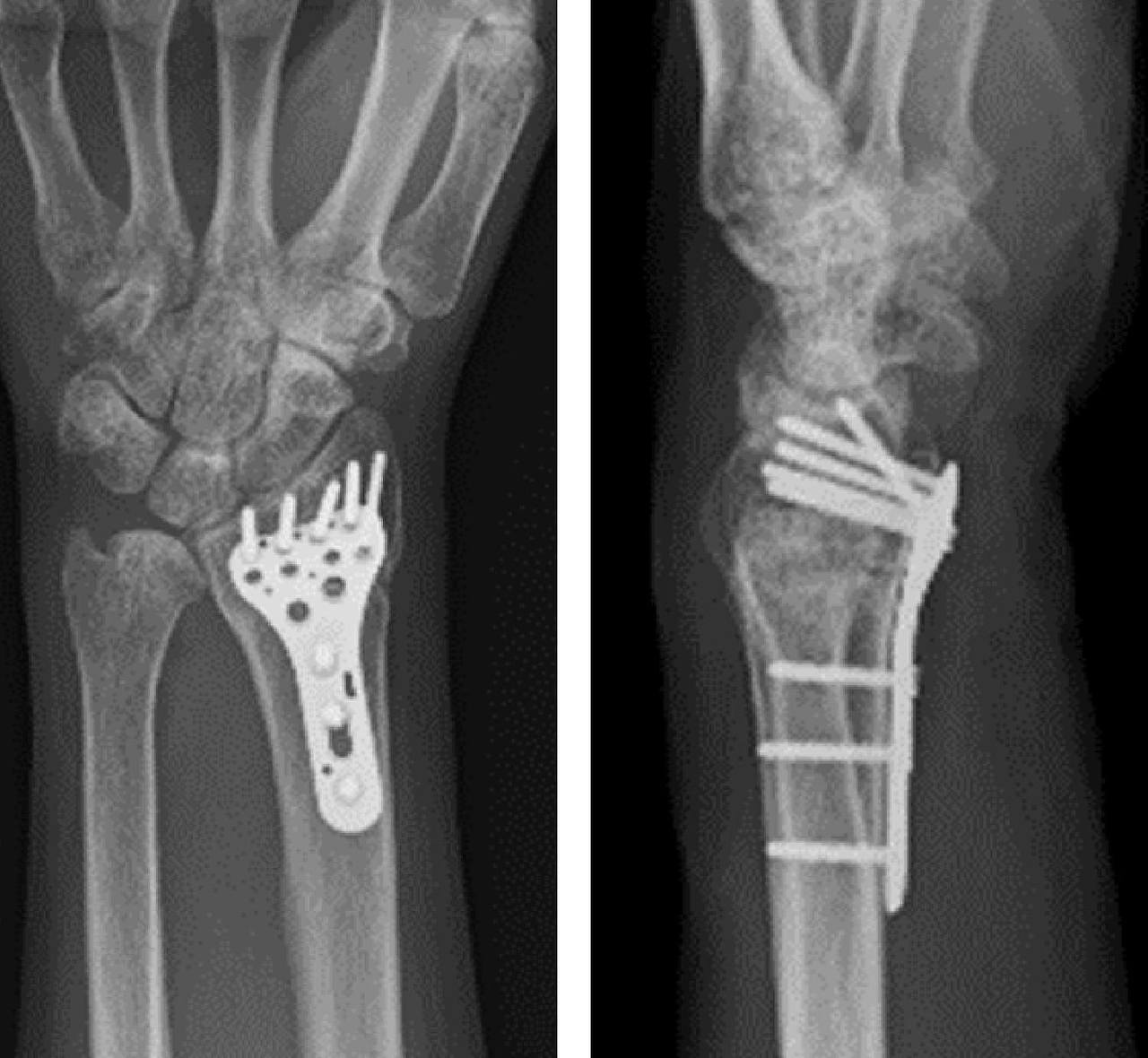
수술적 치료
- 볼라(locking) 플레이트 고정
- 조기 관절 가동 범위 운동(ROM)이 가능.
- 깁스 대신 가벼운 보조기 2 – 3주 착용 후 재활.
- 경피적 K-핀, 외고정
- 피부 절개 최소화.
- 4 – 6주간 핀 유지 ⇒ 제거 후 재활.
손목 골절 깁스 기간: 연령과 손상 정도별 차이

| 구분 | 깁스 또는 보조기 유지 평균 | 주의사항 |
| 소아·청소년 | 3 – 4주 | 성장판 손상 여부 주기적 X-ray |
| 성인(정복 성공) | 4 – 6주 | 석고 붕대 건조·피부관리 |
| 고령·골다공증 | 6 – 8주 | 칼슘·비타민 D, 낙상 예방 |
| 금속판 내고정 | 2 – 3주(보조기) | 침상에서도 능동적 손가락 운동 |
| 외고정·K-핀 | 4 – 6주 | 핀 주위 감염 관리 |
깁스는 과도하게 오랜 기간 유지하면 관절 강직·근력 저하를 부르지만, 조기 제거 역시 불유합·변형 위험을 키우므로 담당 전문의와 X-ray 추적 결과에 따라 결정해야 합니다.
재활치료 단계


1단계: 깁스 기간 중 (0 – 6주)
- 목표: 부종 억제, 손가락 관절 강직 예방.
- 방법
- 심장보다 손을 높여 부종 완화.
- 손가락 굴곡·신전 자주 반복.
- 아이스 팩은 깁스 밖에서 10 분 이내 적용.
2단계: 깁스 제거 후 0 – 4주
- 목표: 관절 가동 범위 회복, 흉터 유연화.
- 방법
- 온수(약 40 ℃)에 5 분 담근 뒤 능동·수동 신전/굴곡, 회내/회외 운동.
- 실리콘 패드를 이용한 흉터 마사지.
- 폼 볼을 이용해 가벼운 악력 운동.
3단계: 근력·기능 회복 (4 – 12주)
- 목표: 전완 근육 강화, 일상 동작 복귀.
- 방법
- 세라밴드 저항 운동(회내/회외·손목 굴곡/신전).
- 손목 굴곡 2 – 3 kg 덤벨, 3세트 × 10회.
- 체중 부하 연습: 네 발 기기, 벽 푸시업.
4단계: 스포츠·직업 복귀 (3 – 6개월)
- 목표: 고부하 환경에서의 안정성 확인.
- 방법
- BOSU 볼 위 플랭크, 손목 스텝 업.
- 라켓 스포츠·클라이밍은 X-ray 상 골유합 확인 후 코치와 단계적 복귀.
일상으로 복귀하기 위한 팁


식단·영양
- 단백질 1.2 – 1.5 g/㎏: 근육 회복.
- 칼슘 1000 mg + 비타민 D 800 IU: 골질 강화.
- 항산화 식품: 블루베리·시금치·고등어 오메가-3.
생활 습관
- 통증 없는 범위 내 가벼운 산책으로 혈류 개선.
- 컴퓨터·스마트폰 사용 시 30 분마다 스트레칭.
- 물리치료실 초음파·레이저·전기자극은 통증 조절·연부조직 치유 촉진.
합병증 예방 및 관리
1. 관절 강직
- 조기 ROM 운동, 온열 요법 병행.
2. 복합부위 통증 증후군(CRPS)
- 타는 듯한 통증·발한·피부 변화 동반.
- 조기 진단 시, 약물·교감신경 차단·경피 전기자극 치료로 호전 가능.
3. 불유합·변형 치유
- 흡연·당뇨·스테로이드 남용은 골유합 지연 요인.
- 3개월 이상 골간격 지속 시 추가 수술 고려.
결론

손목, 특히 요골 골절은 깁스만 풀리면 끝이라고 가볍게 볼 상처가 아닙니다. “골유합 6주 + 기능 회복 6주, 총 3 – 6개월” 정도의 시간을 염두에 두고 체계적인 재활을 진행해야 손목 가동 범위를 90 % 이상 회복할 수 있습니다. 깁스 유지·제거 타이밍은 나이·골절 형태·치료 방법에 따라 달라지므로, 정형외과 전문의의 추적 검사와 물리치료사의 단계별 재활 프로그램을 병행하세요. 아울러 부종 관리·영양 섭취·생활 습관 교정을 꾸준히 실천하면 향후 관절염·CRPS 같은 만성 합병증 가능성을 크게 낮출 수 있습니다.
'건강정보' 카테고리의 다른 글
| 갈비뼈 금이 갔을 때 빨리 낫는 법, 보이는 증상 (0) | 2025.06.18 |
|---|---|
| 발가락 골절 완치 기간, 깁스, 스플린트 (0) | 2025.06.14 |
| 가슴이 답답하고 체한 것 같은 증상: 명치가 꽉 막힌 느낌 (0) | 2025.06.07 |
| 갈비뼈 금이갔을때좋은 음식 (0) | 2025.05.22 |
| 다리에 힘이 없는 증상: 이유와 병원 선택 (0) | 2025.04.13 |
목차