반응형
발가락 골절 완치 기간, 엄지 깁스, 새끼 스플린트, 재활 가이드
하루에도 수없이 움직이는 발, 그중에서도 작은 뼈로 이루어진 발가락은 체중을 지탱하면서 균형을 잡는 핵심 요소입니다. 작은 충격에도 ‘딱’ 하고 금이 가기 쉽지만, 막상 골절이 생기면 “발가락이니까 대수롭지 않겠지” 하며 방치하는 경우가 많습니다. 문제는 잘못 붙거나, 염증이 생기면 걸음걸이가 변하고 만성 통증으로 이어질 수 있다는 점입니다.
발가락 골절 완치 기간
이번 글에서는 발가락 골절 완치 기간을 중심으로 엄지발가락에 쓰이는 깁스, 새끼발가락 전용 스플린트, 그리고 재활 방법까지 단계별로 정리했습니다.


평균 발가락 골절 완치 기간
| 부위 | 안정 고정 | 체중 부하 시작 | 스포츠 복귀 |
| 엄지발가락 | 4‒6주 | 6‒8주 | 10‒12주 |
| 둘째∼넷째발가락 | 3‒4주 | 5‒6주 | 8‒10주 |
| 새끼발가락 | 2‒3주 | 4‒5주 | 6‒8주 |
※ 위 수치는 건강한 성인의 평균값으로, 연령·질환 유무·골절 형태(분쇄·관통 등)에 따라 달라질 수 있습니다.
골절 회복 기간 변수
- 골절 형태: 단순 선상 vs. 분쇄·다발성
- 혈류 공급: 당뇨·말초혈관질환이 있으면 치유 지연
- 초기 고정 방법: 깁스·스플린트·핀 고정 여부
- 생활 습관: 흡연·음주·무리한 체중 부하
발가락 골절의 기본 이해

발가락 뼈 구조
- 엄지발가락(제1지): 근위·원위 지골 두 개
- 둘째∼넷째 발가락(제2∼4지): 근위·중위·원위 지골 세 개
- 새끼발가락(제5지): 근위·중위·원위 지골 세 개
골절이 잘 생기는 상황
- 무거운 물체가 떨어져 직접 충격
- 킥 운동·축구처럼 발끝으로 힘을 전달하는 스포츠
- 계단이나 문턱에 발끝을 세게 부딪힘
- 골다공증·류머티즘 관절염 등 뼈 질환이 있는 경우
증상 체크리스트
- 국소 부종·멍·감각저하
- 걷거나 디딜 때 통증이 심해짐
- 발가락 변형(휘어짐·각 변위)
- 피부 아래에서 ‘딸깍’ 소리나 갈라지는 느낌
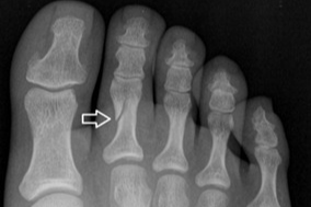
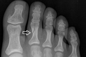
발가락 골절 진단 과정과 초기 대응
즉시 해야 할 응급처치
- 얼음찜질: 20분 적용, 20분 휴식 주기 반복
- 높이기: 발을 심장보다 10‒15cm 높이기
- 압박: 부목이나 테이프(버디테이핑)로 고정
의료기관에서의 진단
- 단순 X선 촬영이 1차
- 불분명하면 CT·MRI로 세부 골절선 확인
- 개방성 상처는 감염 위험 때문에 긴급 처치
엄지발가락 골절 관리: 깁스 적용



엄지 깁스가 필요한 이유
- 체중 전달이 가장 큰 부위
- 중족지관절(MTP)의 엉성한 붙임 방지
깁스 과정
- 부종을 가라앉힌 뒤 섬세한 어긋남 교정
- 섬유 유리(피버글래스) 소재로 발등에서 종아리 하부까지 U 자 형태 고정
- 1주 간격으로 부종·피부 손상 체크
- 4주 차 이후 X선 재촬영 → 유합 확인 후 부분 체중 부하
깁스 중 관리 팁
- 땀 차지 않도록 깁스 안쪽에 뿌리는 파우더 사용
- 따끔거림·저림이 지속되면 즉시 의사 상담
새끼발가락 골절: 스플린트·버디테이핑


왜 스플린트가 유용한가
- 작은 뼈 세 개가 얇게 붙어 있어 정밀 깁스보다 가볍고 효율적
- 인접 발가락과 묶어 충격 흡수
스플린트 선택 기준
- 소재: 경량 알루미늄/폼 패딩
- 길이: 발끝에서 발등 중간까지 완전히 덮을 것
- 굽힘 각도: 10° 이하, 완전 신전 자세 유지
버디테이핑 단계
- 깨끗이 세척 후 건조
- 의료용 테이프 2.5cm 폭, 8 자(∞) 형태로 두 발가락 묶기
- 발바닥 아래 거즈 패드 삽입해 압력 분산
- 2‒3일 간격으로 테이프 교체
발가락 골절 재활 프로그램


1단계: 고정 해제 직후(0‒2주)
- 발가락 벌리기·모으기 10회×3세트
- 발바닥 공 마사지(테니스볼) 하루 5분
2단계: 가벼운 체중 부하(2‒4주)
- 발끝 서기 3초 유지 ×15회
- 수건 당기기: 수건을 발가락으로 잡아당겨 종아리 스트레칭
3단계: 근력·유연성 강화(4‒8주)
- 라텍스 밴드 저항 운동
- 발뒤꿈치 들고 제자리 걷기 2분 ×2세트
4단계: 기능 회복 및 스포츠 복귀(8주 이후)
- 잔디 위 맨발 보행
- 전·측·후방 방향 전환드릴
- 충격 흡수 신발·인솔 착용 후 러닝 프로그램 시작
일상 복귀 시 주의사항
- 체중 분산: 초기에 유연한 워킹 슈즈+큐샌드 인솔 권장
- 작업 환경: 장시간 서 있거나 점프 동작은 2개월 이상 지연
- 온열·냉찜질 병행: 혈류 촉진, 부종 감소
- 영양 관리: 칼슘 1000mg, 비타민 D 800IU 목표 섭취
- 정기 검진: 6개월·1년 차에 X선 추적
발가락 골절을 예방하려면

- 실내에서도 슬리퍼·쿠션샌들 착용해 충격 완화
- 스포츠 시 발등 보호가 있는 운동화 고르기
- 비타민 D 부족 검사 후 햇빛 노출·보충제 복용
- 골다공증 위험군은 연 1회 골밀도 측정
- 작업장·집안의 문턱·가구 각진 모서리 보호대 부착
결론
발가락 골절은 작아 보이지만 발가락 골절 완치 기간 동안 충분한 고정과 재활이 필수입니다. 특히 체중이 집중되는 엄지발가락은 깁스로, 상대적으로 작은 새끼발가락은 스플린트나 버디테이핑으로 각각 대응해야 합니다. 치료 초기에는 ‘잘 붙기만 하면 된다’고 생각하기 쉽지만, 발가락 골절 재활 과정을 건너뛰면 관절 강직·만성 통증으로 이어질 수 있습니다. 정확한 진단과 단계별 재활, 그리고 꾸준한 생활습관 관리가 완전한 회복을 좌우합니다. 오늘 안내한 내용을 참고해 발 건강을 지키시길 바랍니다.
반응형
'건강정보' 카테고리의 다른 글
| 감잎차 효능과 부작용 (0) | 2025.06.20 |
|---|---|
| 갈비뼈 금이 갔을 때 빨리 낫는 법, 보이는 증상 (0) | 2025.06.18 |
| 손목 골절 완치 기간 요골 골절 깁스기간 (0) | 2025.06.13 |
| 가슴이 답답하고 체한 것 같은 증상: 명치가 꽉 막힌 느낌 (0) | 2025.06.07 |
| 갈비뼈 금이갔을때좋은 음식 (0) | 2025.05.22 |
목차