경동맥 초음파 검사로 알수있는병, 비용
경동맥 초음파 검사는 목을 지나는 주요 혈관인 경동맥(Carotid artery)의 상태를 정밀하게 확인할 수 있는 비침습적 영상 검사입니다. 경동맥은 뇌로 혈액을 공급하는 가장 중요한 혈관 중 하나이기 때문에 이곳에 문제가 생기면 뇌졸중(뇌경색, 뇌출혈), 일과성 허혈발작(TIA) 등 생명과 직결되는 질환으로 이어질 수 있습니다. 초음파를 이용하는 방식이라 방사선 노출이 없고, 시술 절차가 간단하며, 통증이 거의 없기 때문에 심뇌혈관질환 예방의 핵심 검진으로 각광받고 있습니다.


특히 40대 이후 나이가 들수록 혈관벽이 두꺼워지고 플라크가 쌓이는 동맥경화 위험이 높아져 조기 관찰의 필요성이 커집니다. 또한 고혈압, 당뇨병, 고지혈증, 흡연 등 혈관 노화에 영향을 미치는 요소를 보유한 사람이라면 정기적인 경동맥 초음파 검사가 뇌졸중 위험도를 낮추는 데 결정적인 도움이 됩니다. 겉으로는 멀쩡해 보여도 내부에서 진행되는 혈관 변화는 자각 증상 없이 갑작스러운 혈관 폐색을 유발할 수 있기에 '보이지 않는 위험'을 확인하는 가장 확실한 방법이 바로 경동맥 초음파 검사입니다.
이 글에서는 어떤 병을 확인할 수 있는지, 검사 대상자 기준, 검사 과정, 비용, 그리고 실제로 많이 묻는 질문들까지 종합적으로 정리해 드리겠습니다. 긴 글이지만 뇌 건강을 지키기 위한 중요한 정보이니 차분히 읽어보시면 도움이 되실 것입니다.
경동맥 초음파 검사로 알수있는병
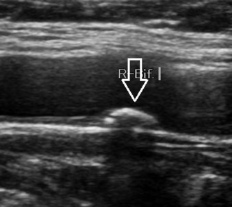
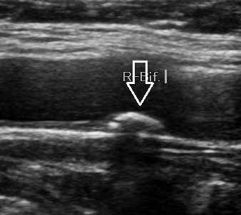
경동맥 초음파는 혈관 벽과 혈류를 실시간 영상으로 관찰할 수 있어 여러 질환을 조기에 파악하는 데 유용합니다. 확인 가능한 대표 적인 경동맥 초음파 검사로 알수있는병은 다음과 같습니다.

- 경동맥 협착증(혈관이 좁아진 상태)
- 동맥경화증(죽상경화로 혈관벽 두꺼워짐)
- 혈관 플라크(지방, 콜레스테롤 침착물)
- 뇌졸중(허혈성 뇌졸중 위험 신호)
- 혈전(피떡) 발생 가능성 확인



- 내중막 두께 증가(IMT 증가)로 혈관 노화 평가
- 경동맥 박리(혈관벽이 찢어지는 현상)
- 동맥류(혈관 벽이 이완되어 늘어나는 상태)
- 염증성 혈관질환
- 갑상선 종양 또는 경부 종물에 의한 혈관 압박 유무

플라크가 혈류에 영향을 줄 정도로 커지면 협착이 발생하고, 이 플라크 조각이 떨어져 나가 뇌혈관을 막으면 뇌경색이 발생할 수 있기에 조기 발견이 매우 중요합니다. 또한 IMT(혈관 내막-중막 두께) 수치가 정상보다 두꺼워진다면 심혈관 질환의 발병 가능성이 높은 것으로 평가됩니다. 즉, 경동맥 초음파 결과는 뇌뿐 아니라 심장 건강 상태를 간접적으로 나타내는 지표로도 활용됩니다. 특히 다음과 같은 상황에서 더 세밀한 해석과 대처가 필요합니다.
- 협착률 50% 이상: 증상이 없어도 위험군으로 관리 필요
- 협착률 70% 이상: 뇌졸중 발생 위험 매우 높아 치료 고려
- 불안정 플라크: 껍질이 얇아 쉽게 파열될 수 있어 고위험군
눈에 보이지 않는 혈관 속 변화를 확인하는 것만으로도 향후 치료전략을 조기 수립할 수 있다는 점에서 가치가 높습니다.


경동맥 초음파 검사 권장 대상자
다음 항목 중 한 가지라도 해당된다면 정기적인 검사를 고려해야 합니다.
- 40대 이상 중장년층
- 고혈압, 당뇨, 고지혈증 등 만성질환 보유자
- 흡연자, 복부비만, 스트레스 과다, 운동 부족
- 심혈관 질환 가족력(부모 또는 형제 자매)
- 심장 수술 이력(스텐트 삽입 포함)
- 갑작스러운 어지럼증, 언어 장애, 편측 마비 경험자
- 눈앞이 갑자기 하얗게 보이거나 시야가 가려진 경험(일과성 시력장애)
- 발작적인 두통, 인지 저하 등 신경학적 증상 호소자
- 고령 환자(혈관 노화가 빠르게 진행)
특히 고위험군은 1년에 한 번 이상의 정기 검진이 권장됩니다.

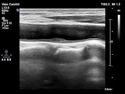
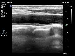
경동맥 초음파 검사 과정과 소요시간
진행 과정은 다음과 같아 매우 간단합니다.
- 편안하게 누운 상태에서 목 오른쪽, 왼쪽을 노출
- 젤을 바른 후 초음파 탐촉자를 경동맥 위에 대고 영상 관찰
- 혈류 속도 측정과 플라크 유무 확인
- 검사 시간: 보통 10~20분 내외
- 검사 후 일상생활 즉시 가능
금식이 필요 없으며, 통증과 부작용이 거의 없어 부담 없이 받을 수 있는 검사입니다.

경동맥 초음파 검사 비용
검사 비용은 병원 규모, 급여 적용 여부에 따라 달라집니다.
- 병·의원에서 자비 부담 검사: 약 3만원~10만원 선
- 종합병원/대학병원: 7만원~15만원 이상 가능
- 보험 적용 시 비용:
- 뇌졸중 의심 증상, 만성질환 등 의학적 필요성 인정 시 급여 적용
- 일부 본인 부담으로 저렴해짐
보험 적용이 가능한 케이스 예시는 다음과 같습니다.
- 갑작스러운 편측 마비, 언어장애, 어지럼 등 뇌졸중 의심 증상 발생
- 혈관 잡음(수축기 잡음)이 들리는 경우
- 고혈압, 당뇨 등으로 혈관 상태 추적 관리 필요
단순 건강검진 목적이면 비급여 처리될 수 있으므로, 병원 방문 전 비용 확인이 좋습니다.

검사 결과에서 주로 보는 지표
판독 시 중요한 평가 항목은 다음과 같습니다.
- 플라크 위치와 크기
- 협착률(혈관이 얼마나 좁아졌는지 퍼센트로 표시)
- IMT 수치(혈관 노화 및 동맥경화 지수)
- 혈류 속도 증가 여부
- 혈전 또는 혈관 박리 여부
결과 수치는 뇌졸중, 심근경색 예방 전략 수립에 직접적으로 영향을 줍니다.






경동맥 건강 관리를 위한 생활수칙
검사 결과 이상 소견이 있거나 위험군이라면 다음을 강화해야 합니다.
- 금연 및 절주
- LDL 콜레스테롤 조절
- 정상 혈압 유지(120/80mmHg 전후)
- 적정 체중 유지(BMI 25 미만)
- 중등도 이상의 유산소 운동 주 3회 이상
- 싱겁게 먹고 지방 섭취 최소화
- 스트레스 관리 및 충분한 수면
혈관 건강 개선은 뇌심혈관 질환 예방의 핵심입니다.

FAQ
경동맥 초음파 검사에 관한 궁금증을 정리했습니다.
- Q. 방사선이 나와서 위험하지 않나요?
- A. 방사선을 사용하지 않으며 초음파 기반이라 매우 안전합니다.
- Q. 검사 전 준비사항이 필요할까요?
- A. 별다른 준비 없이 바로 검사 가능하며, 공복도 의무가 아닙니다.
- Q. 검사만으로 당장 뇌졸중을 예측할 수 있나요?
- A. 직접 예측은 불가능하지만 위험도를 정확하게 평가할 수 있습니다.
- Q. 검사 후 추가 검사가 필요한 경우는?
- A. 협착이 심하거나 플라크가 불안정하면 CT·MRI 혈관조영술 추가 권장
- Q. 약물 복용 중이라도 가능한가요?
- A. 모든 약 복용은 유지 가능하며, 진단 의도 분명하면 보험 적용도 가능
- Q. 경동맥이 막히면 어떻게 치료하나요?
- A. 약물 치료, 스텐트, 내막 제거 수술 등이 병변 상태에 따라 시행됨
- Q. 증상이 없어도 꼭 해야 하나요?
- A. 위험요인을 보유했다면 무증상일 때 검진하는 것이 예방의 핵심입니다.



결론
경동맥 초음파 검사는 편안하게 누워 잠깐의 시간만 투자해도 향후 큰 위험을 예방할 수 있는 필수 검사입니다. 뇌졸중은 한 번 발생하면 심각한 후유장애를 남기며 생명을 위협하는 질환이므로, 조기 진단을 통한 위험 차단이 무엇보다 중요합니다. 경동맥 협착과 플라크는 생활습관 개선과 약물치료를 통해 충분히 관리할 수 있으므로, 검사로 위험을 확인하고 적극적인 건강 관리에 나서는 것이 건강한 삶의 시작입니다.



특히 위험요인 보유자, 40대 이상, 만성질환자, 흡연자는 정기적인 검사로 혈관 상태를 지속적으로 모니터링해야 합니다. 경동맥은 뇌로 가는 생명의 길입니다. 그 길을 깨끗하게 유지하는 것이 바로 뇌건강과 삶의 질을 지키는 가장 확실한 방법입니다. 이상 신호를 미리 확인할 수 있는 기회를 놓치지 않고, 전문적인 검사와 관리로 뇌혈관 질환을 예방하길 바랍니다.



'건강정보' 카테고리의 다른 글
| 허리통증 원인 (0) | 2025.12.18 |
|---|---|
| 대상포진 초기증상 (0) | 2025.12.14 |
| 대장내시경 전 먹어도 되는음식 (0) | 2025.11.07 |
| HDL콜레스테롤이란 뭐지? (0) | 2025.11.03 |
| 혈소판수치가 낮으면 나타나는 증상 - 정상범위 (0) | 2025.10.29 |
목차